
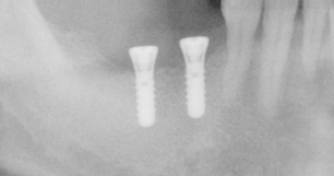
インプラントとは、虫歯や歯周病、事故などで失った自分の歯の部分に、入れ歯やブリッジを使わず、人工の歯根をあごの骨に埋め込み歯を作る治療法です(※要手術)。
ブリッジ治療や入れ歯治療でも失ってしまった歯を補うことはできますが、各々の治療にはデメリットがあります。
ブリッジ治療は、抜けた歯を補う為に健康的な両隣の歯を削らなくてはいけません。
本来削らなくていい健康な歯を削るため、両隣の歯に負担がかかり、きちんと手入れをしないと本来の歯の寿命を大きく縮めることになります。
入れ歯治療は、残っている歯にバネ(クラスプ)をかけて固定するため、やはり負担となります。また粘膜の上に入れ歯を乗せますので、骨の吸収が(いわゆる歯茎がやせる)起こりやすいといった欠点もあります。
インプラントは、この2つの方法の足りない部分を補う方法です。
固定式であるため、ガタついたりせず、自分の歯のように強くかめるようになる人気の治療がインプラントです。
失った歯をインプラントでよみがえらせましょう!
このような悩みを解決します
- むし歯や歯周病、事故などで歯を失くしてしまい不自由している
- 見た目を自然で、自分の歯のように見せたい
- 入れ歯の取り外しがわずらわしい
- 硬いものでも力強くかみたい





-
- 誰でもインプラント治療を受けられますか?
- 結論からいうと、すべての方が受けられるわけではありませんが、健康な方なら基本的に可能です。
※カウンセリングは無料ですので、担当医にご相談下さい。
年齢的には20歳前後からとお考えください。
-
- 治療期間はどのくらいですか?
- 1回目の手術から2回目の手術までの間が、2~3ヶ月です。2回目の手術が終わって、歯の部分の仮歯が入るまで、約3週間です。
トータル的には、下あごで約3~4ヶ月、上あごで約4~6ヶ月となります。
-
- インプラントの寿命はどのくらいですか?
- 口の中の衛生状態がよければいくらでも長持ちしますが、逆に清掃できていない場合は、寿命がどんどん短くなります。
-
- インプラントの手術費用はどのくらいかかるのですか?
- 現在は保険治療の適用になっていません。埋め込む本数によって異なりますので、お気軽に担当医にお聞きください。
-
- インプラント手術の時に痛みはありますか?
- 手術は局部麻酔をして行いますので、痛みに関しては心配ございません。














